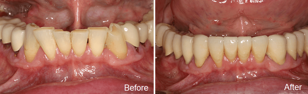
“This is a photograph of Dr. Charanduk’s patient and treatment. Photographs are for informational purposes only because individual treatment results will vary from patient to patient. Some patients may not be candidates for treatment.”
“This is a photograph of Dr. Charanduk’s patient and treatment. Photographs are for informational purposes only because individual treatment results will vary from patient to patient. Some patients may not be candidates for treatment.”